

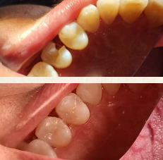
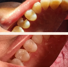
Tambal gigi berlubang Anda dengan Resin Komposit (RK) berkualitas premium yang kuat dan menyerupai gigi asli (estetik). Kami menawarkan solusi tambalan gigi yang cepat, awet, dan mengembalikan fungsi kunyah serta keindahan senyum Anda. Cek harga tambal gigi di Payakumbuh!
